|
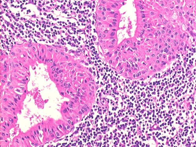
Bilateral parotid nodules, 55-year old male, Warthin“s tumor (adenolymphoma)
|
Cytologically, the Warthin tumor (adenolymphoma) has a double cell population: lymphocytes and oncocytic epithelial cells that line the cystic areas (sometimes with papillary projections). In the differential diagnosis one should consider the well-differentiated acinic cell carcinoma associated with lymphoid stroma .
All patients with this tumor survive, and the recurrence rate is about 5%. The Warthin tumor tends to be bilateral (10% of cases) and is usually found in the major glands, as seen in the present case.

| Case August 2006 | References | List of cases | Atlas |