Drs. Prolla and Diehl's Case of the month ~ August 2006

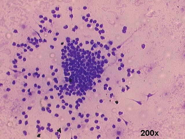
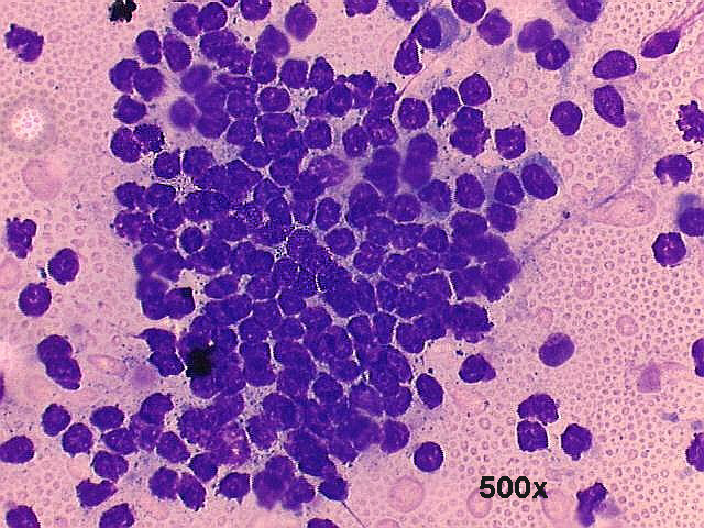
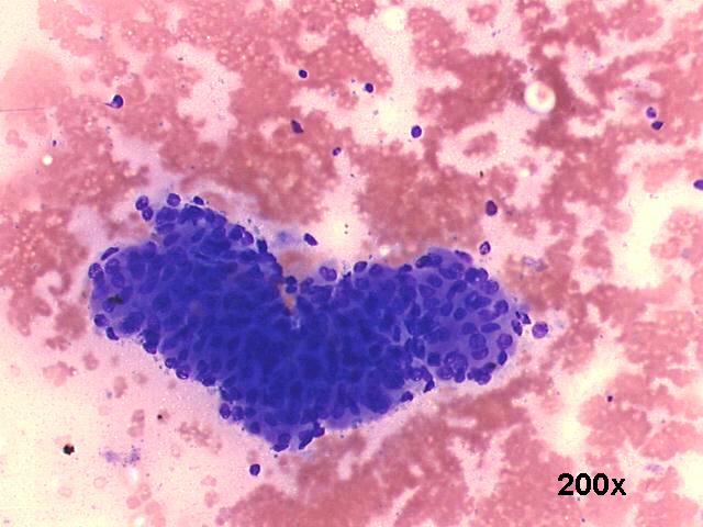
Bilateral parotid nodules, 55-year old male, FNA right side mass


200x M-G-G staining

500x M-G-G staining

200x M-G-G staining

500x M-G-G staining

500x M-G-G staining

500x M-G-G staining

200x M-G-G staining

500x M-G-G staining



Case of the month answer





Best seen on 1024x768x16M resolution -


Hosted by www.Geocities.ws

1