Drs. Prolla and Diehl's INTERESTING CASE OF THE MONTH August 2005
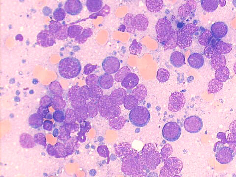
FNA large liver mass cytopathology, 66-year old female with icterus.
 

500x Giemsa staining

500x Giemsa staining

500x Giemsa staining





Case of the month answer

Santa Casa de Misericordia de Porto Alegre -




Best seen on 1024x768x16M resolution -


Hosted by www.Geocities.ws

1