Drs. Prolla and Diehl's INTERESTING CASE OF THE MONTH July 2009
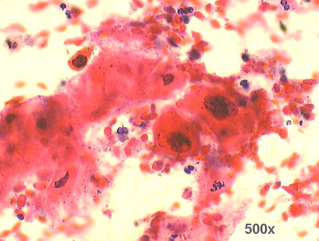
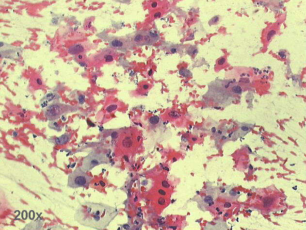
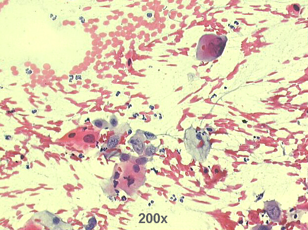
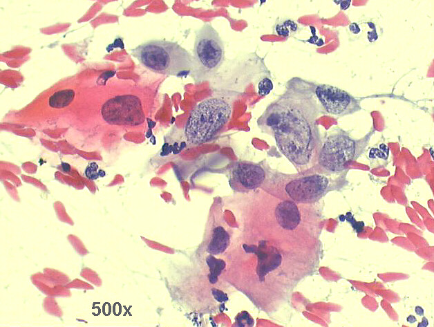
Cervico-vaginal cytology, 55-year old female,
4-year post radiation therapy for cervical squamous cell carcinoma

200x Pap staining

500x Pap staining

500x Pap staining

500x Pap staining

500x Pap staining

500x Pap staining

200x Pap staining

500x Pap staining





Case of the month answer

Santa Casa de Misericordia de Porto Alegre



Best seen on 1024x768x16M resolution -


Hosted by www.Geocities.ws

1