Drs. Prolla and Diehl's July 2006

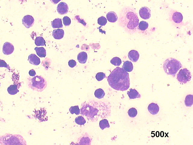
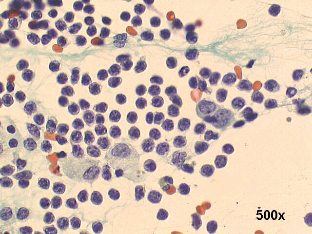
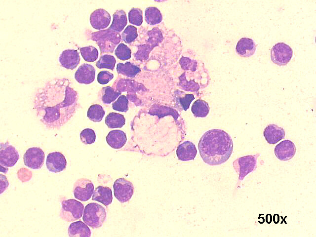
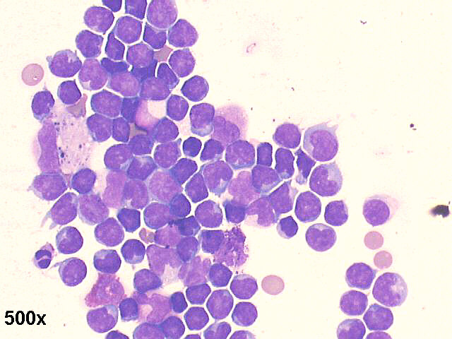
Pleural fluid, Cytospin preparation, 22-week old fetus, intra-uterine aspiration


500x Papanicolaou staining

500x M-G-G staining

500x M-G-G staining

500x M-G-G staining



Case of the month answer





Best seen on 1024x768x16M resolution -


Hosted by www.Geocities.ws

1