Drs. Prolla and Diehl's
INTERESTING CASE OF THE MONTH July 2005
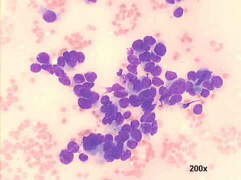
FNA left kidney mass, 57-year old female.
Please notice the use of a 20x oil lens for the medium power photos.

Case
of the month answer
Best seen on 1024x768x16M resolution - After complete downloading of the pictures, and while you think listen to H.Bunji playing Mozart's Sonata in G K283, by clicking on the picture of the Santa Casa de Misericordia de Porto Alegre.