Drs. Prolla and Diehl's INTERESTING CASE OF THE MONTH June 2009
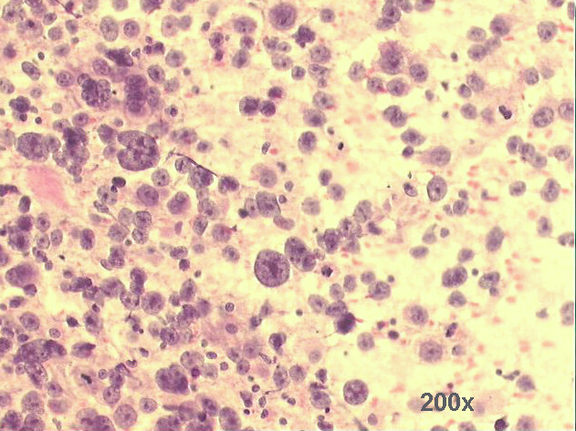
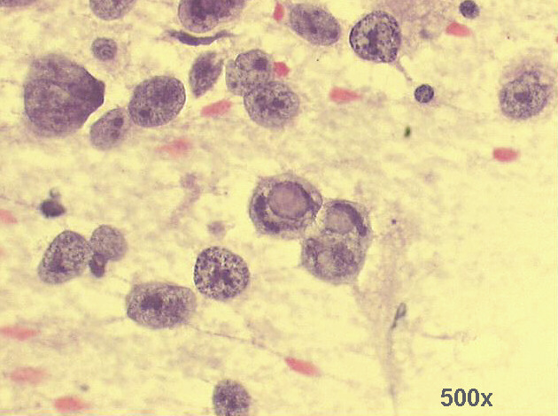
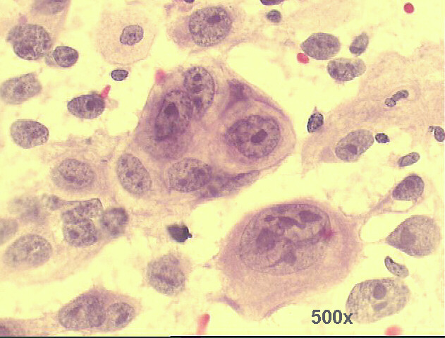
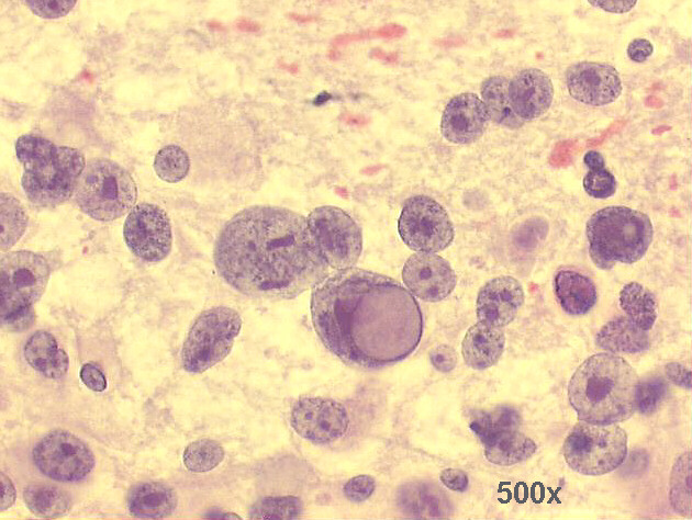
Left cervical node, transoperative imprint, quick Pap staining, 67-year old male.

200x Pap staining

500x Pap staining

500x Pap staining

500x Pap staining

1,000x Pap staining

500x Pap staining

500x Pap staining

500x Pap staining

1,000x Pap staining

500x Pap staining




Case of the month answer

Santa Casa de Misericordia de Porto Alegre



Best seen on 1024x768x16M resolution -


Hosted by www.Geocities.ws

1