Drs. Prolla and Diehl's INTERESTING CASE OF THE MONTH June 2007
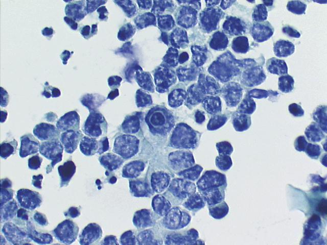
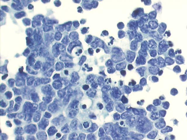
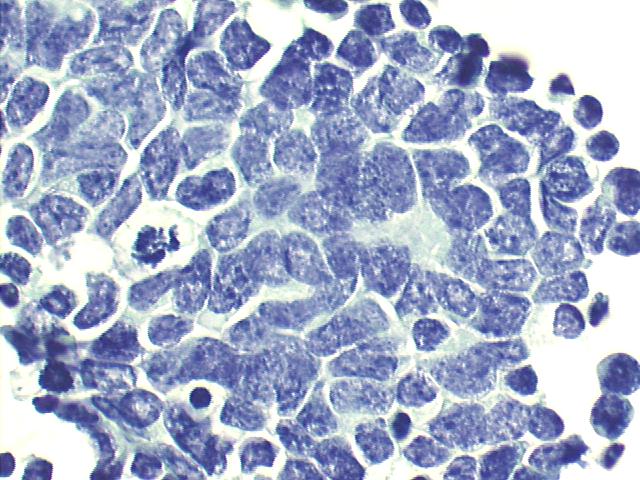
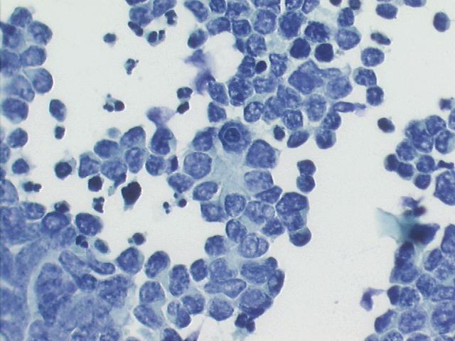
CSF aspiration, Cytospin preparation, 04-year old boy with previous history of retinoblastoma
 

200x Pap staining

500x Pap staining, high view of previous image

500x Pap staining

200x Pap staining

500x Pap staining





Case of the month answer

Santa Casa de Misericordia de Porto Alegre -




Best seen on 1024x768x16M resolution -


Hosted by www.Geocities.ws

1