Drs. Prolla and Diehl's INTERESTING CASE OF THE MONTH May 2005
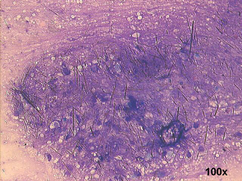
Left knee aspiration synovial fluid, 74-year old male, with suspected septic knee arthritis.
 

100x M-G-G staining

500x M-G-G staining

500x M-G-G staining

100x and 500x Papanicolaou staining





Case of the month answer

Santa Casa de Misericordia de Porto Alegre -




Best seen on 1024x768x16M resolution -


Hosted by www.Geocities.ws

1