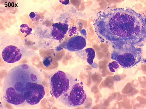
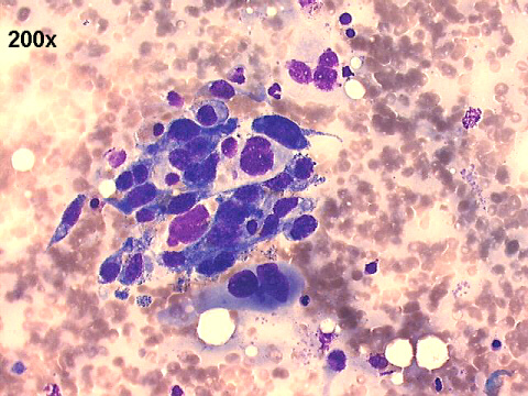
FNA right posterior costo-vertebral sulcus cytology, 68-year old male, 6-month post left lung transplantation
Drs. Prolla and Diehl's
INTERESTING CASE OF THE MONTH May 2004

Case
of the month answer
Best seen on 1024x768x16M resolution - After complete downloading of the pictures, and while you think listen to H.Bunji playing Mozart's Sonata in G K283, by clicking on the picture of the Hospital de Clinicas de Porto Alegre.