|










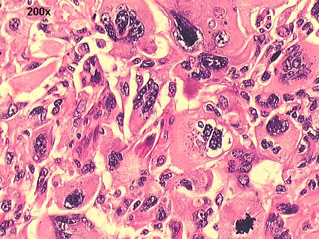
The cytology smears show anaplastic malignant cells, some fusiform, some giant cells. Histology shows a giant cell anaplastic tumor, and immunocytochemistry was positive for epithelial origin markers, including the giant cells. This tumor is remarkable for several features: its extremely rapid growing, attaining 7cm in diameter six months after opposite lung transplantation, at which time high resolution CT of thorax did not reveal any tumor, and its giant cell epithelial nature.
|