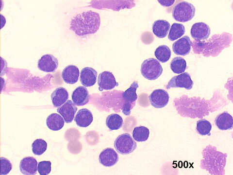
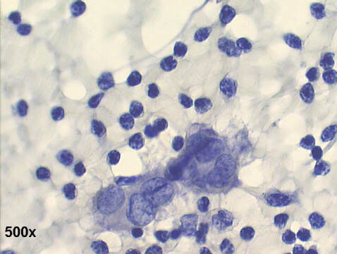
Pleural fluid, 19-year old female with ascites, fever and weight loss
Drs. Prolla and Diehl's
INTERESTING CASE OF THE MONTH May 2003 case A

Case
of the month answer
Click here for case B

or case C
Best seen on 1024x768x16M resolution - After complete downloading of the pictures, and while you think listen to H.Bunji playing Mozart's Sonata in G K283, by clicking on the picture of the Santa Casa de Misericordia de Porto Alegre.