Drs. Prolla and Diehl's INTERESTING CASE OF THE MONTH April 2005
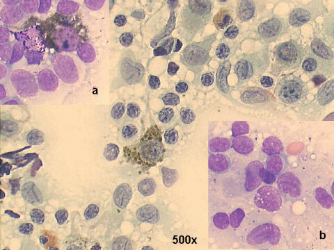
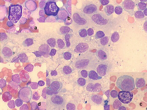
FNA cervical lymph node, 70-year old male, with suspected cutaneous lymphoma.
 

500x oil Papanicolaou staining

500x M-G-G staining

500x M-G-G and Papanicolaou staining

500x Papanicolaou staining





Case of the month answer

Santa Casa de Misericordia de Porto Alegre -




Best seen on 1024x768x16M resolution -


Hosted by www.Geocities.ws

1