Drs. Prolla and Diehl's INTERESTING CASE OF THE MONTH March 2002 case B
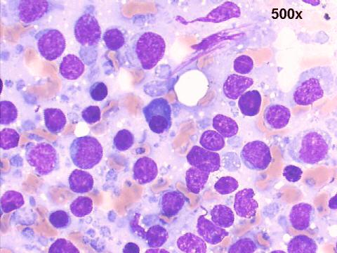
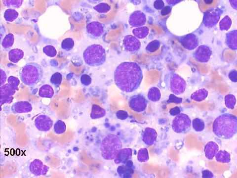
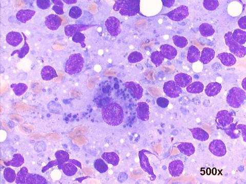
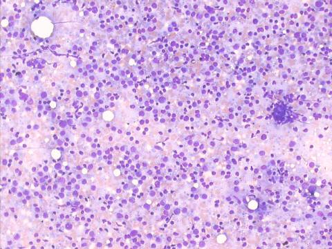
FNA 4cm nodule, left lobe thyroid of 75-year old female

100x M-G-G staining

500x M-G-G staining

500x M-G-G staining

500x M-G-G staining



Case B of the month answer

Click here for case A

Santa Casa de Misericordia de Porto Alegre - Listen to H.Bunji rendering of Mozart's Sonata in G K283




Best seen on 1024x768x16M resolution - After complete downloading of the pictures, and while you think listen to H.Bunji playing Mozart's Sonata in G K283, by clicking on the picture of the Santa Casa de Misericordia de Porto Alegre.


Hosted by www.Geocities.ws

1