Drs. Prolla and Diehl's Case of the month ~ March 2007

Pleural fluid, 59-year old female, with history of a left leg angiosarcoma resected one year previously


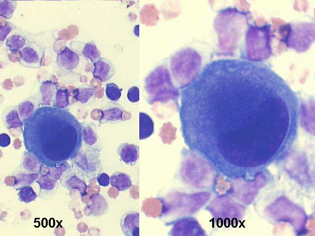
500x and 1000x M-G-G staining

500x and 1000x M-G-G staining

500x and 1000x M-G-G staining

500x and 1000x M-G-G staining

500x and 1000x Pap staining

500x and 1000x Pap staining

500x and 1000x Pap staining

500x and 1000x Pap staining

500x and 1000x Pap staining



Case of the month answer





Best seen on 1024x768x16M resolution -


Hosted by www.Geocities.ws

1