Drs. Prolla and Diehl's INTERESTING CASE OF THE MONTH March 2003 case A
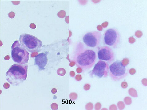
Voided urine, Cytospin preparation, 47-year old male with past history of urinary bladder carcinoma

500x M-G-G staining

500x M-G-G staining

500x Papanicolaou staining

500x Papanicolaou staining





Case of the month answer

Click here for case B

Santa Casa de Misericordia de Porto Alegre - Listen to H.Bunji rendering of Mozart's Sonata in G K283




Best seen on 1024x768x16M resolution - After complete downloading of the pictures, and while you think listen to H.Bunji playing Mozart's Sonata in G K283, by clicking on the picture of the Santa Casa de Misericordia de Porto Alegre.


Hosted by www.Geocities.ws

1