Drs. Prolla and Diehl's INTERESTING CASE OF THE MONTH March 2001

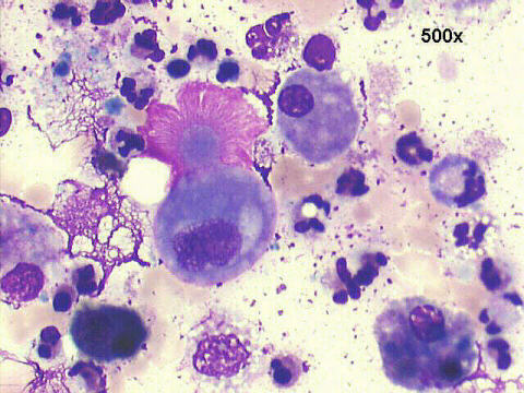
Right sided inguinal mass FNA cytology (M-G-G staining) of 76-year old female.

500x M-G-G staining

500x M-G-G staining

500x M-G-G staining

500x M-G-G staining


Case of the month answer

Hospital de Clinicas de Porto Alegre - <br></center><br>


<br>
<p><center><b><font face=Best seen on 1024x768x16M resolution -


Hosted by www.Geocities.ws

1