Drs. Prolla and Diehl's INTERESTING CASE OF THE MONTH February 2007 case A

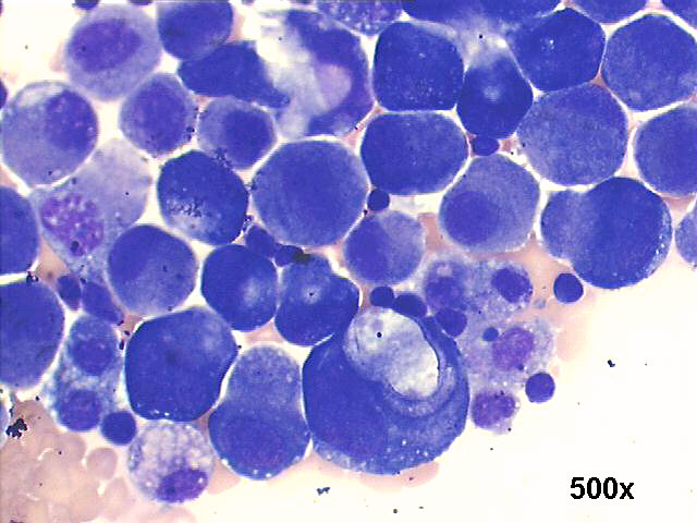
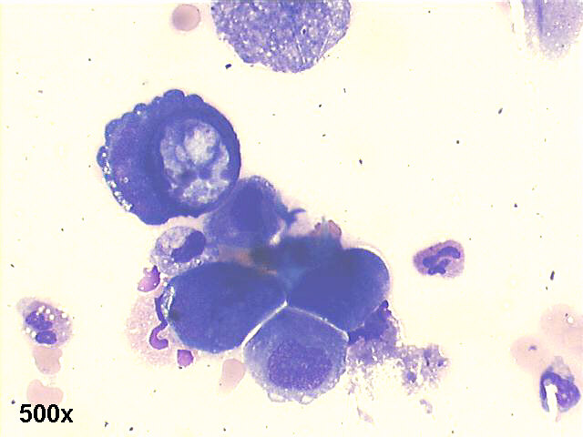
Pleural fluid, 64-year old male with gastric tumor


500x M-G-G staining

1000x Papanicolaou staining

500x M-G-G staining

1000x M-G-G staining

500x M-G-G staining



Case of the month answer





Best seen on 1024x768x16M resolution -


Hosted by www.Geocities.ws

1