Drs. Prolla and Diehl's INTERESTING CASE OF THE MONTH February 2006
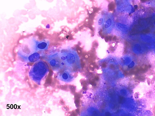
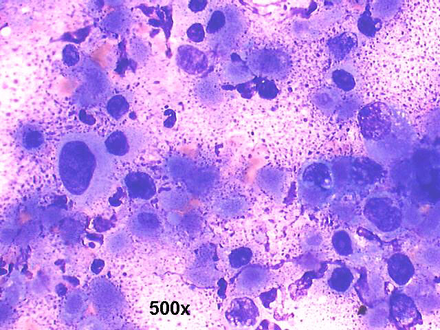
FNA, nodule in left lobe of thyroid, 58-year old male with history of previous laryngeal tumor resection.
 

500x oil M-G-G staining

200x M-G-G staining

500x M-G-G staining

500x M-G-G staining

500x M-G-G staining

500x M-G-G staining


500x Papanicolaou staining, squamous pearl





Case of the month answer

Santa Casa de Misericordia de Porto Alegre -




Best seen on 1024x768x16M resolution -


Hosted by www.Geocities.ws

1