Drs. Prolla and Diehl's INTERESTING CASE OF THE MONTH February 2005
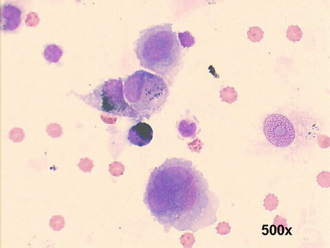
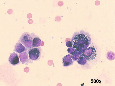
FNA enucleated left eye, 42-year old male, with a choroidal tumor, Cytospin preparation.
 

500x oil M-G-G staining

500x M-G-G staining

500x M-G-G staining

500x M-G-G staining

500x Papanicolaou staining





Case of the month answer

Santa Casa de Misericordia de Porto Alegre -




Best seen on 1024x768x16M resolution -


Hosted by www.Geocities.ws

1