Drs. Prolla and Diehl's INTERESTING CASE OF THE MONTH February 2003 case A
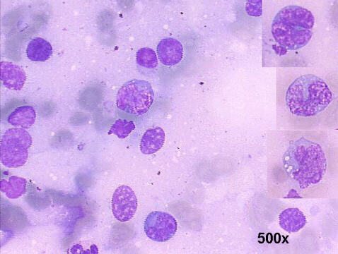
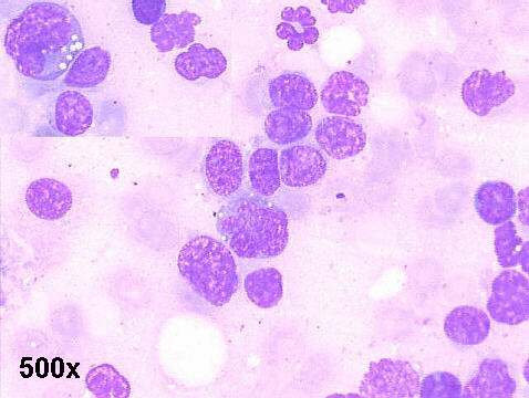
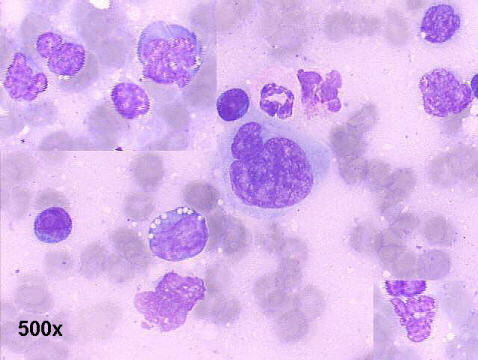
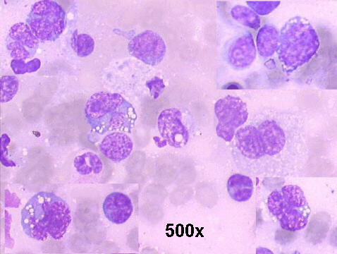
Pleural effusion Cytospin smears and imprint of lung surgical biopsy, 49-year old female with diffuse bilateral lung miliary micronodular infiltration and right pleural effusion

500x M-G-G staining imprint lung biopsylung

500x M-G-G staining imprint lung biopsylung

500x M-G-G staining imprint lung biopsylung

500x M-G-G staining imprint lung biopsylung

500x M-G-G pleural effusionpleura

500x M-G-G staining pleural effusionpleura



Case of the month answer

Click here for case Bor case C

Santa Casa de Misericordia de Porto Alegre - Listen to H.Bunji rendering of Mozart's Sonata in G K283




Best seen on 1024x768x16M resolution - After complete downloading of the pictures, and while you think listen to H.Bunji playing Mozart's Sonata in G K283, by clicking on the picture of the Santa Casa de Misericordia de Porto Alegre.


Hosted by www.Geocities.ws

1