Drs. Prolla and Diehl's INTERESTING CASE OF THE MONTH February 2002 case A

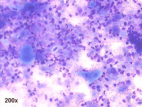
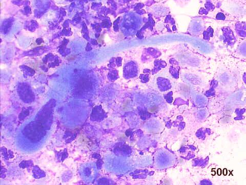
FNA left supraclavicular node, 74-year old male, with left hilar mass in chest X-ray


200x M-G-G staining

500x M-G-G staining

200x Papanicolaou staining

500x Papanicolaou  staining




Case of the month answer

Click here for case B

Hospital de Clinicas de Porto Alegre - Listen to H.Bunji rendering of Mozart's Sonata in G K283





Best seen on 1024x768x16M resolution - After complete downloading of the pictures, and while you think listen to H.Bunji playing Mozart's Sonata in G K283, by clicking on the picture of the Hospital de Clinicas de Porto Alegre.


Hosted by www.Geocities.ws

1