Cytopathology BAL: lymphocytosis in miliary tuberculosis


Drs. Prolla and Diehl's INTERESTING CASE OF THE MONTH February 2001 Case A

Papanicolaou staining

Papanicolaou staining

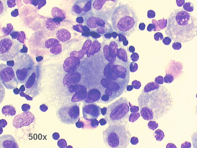
M-G-G staining  ~ Large Langhans histiocyte, monocytes and lymphocytes



The smears show an elevated number of lymphocytes (well above the normal 1-5%), a common finding in tuberculosis or sarcoidosis, and some Langhans histiocytes and monocytes. The Ziehl-Neelsen stained smears were positive for Mycobacteriae, and the culture confirmed the presence of Mycobacterium tuberculosis.

Chest X-Ray of the Case



See also Case B




References
List of cases
Hosted by www.Geocities.ws

1