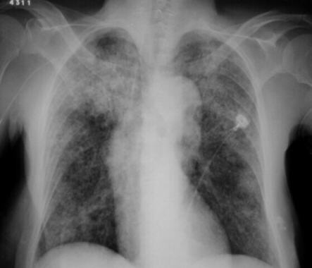
Chest X-Ray demonstrating bilateral diffuse pulmonary micronodular infiltration (miliary lesions).

Volta para o caso
Hosted by www.Geocities.ws

1