Drs. Prolla and Diehl's INTERESTING CASE OF THE MONTH January 2002 case B
FNA inferior lobe right lung nodule (benign features at X-Ray) of 72-year old male

100x M-G-G staining

200x M-G-G staining

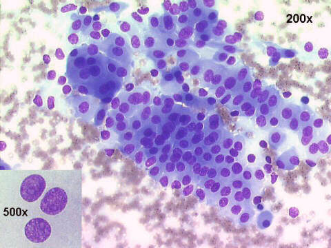
200x M-G-G staining

500x M-G-G staining

FNA inferior lobe right lung nodule of 72-year old male - To see the CT of thorax click here


Case B of the month answer

Click here for case A

Santa Casa de Misericordia de Porto Alegre - Listen to H.Bunji rendering of Mozart's Sonata in G K283




Best seen on 1024x768x16M resolution - After complete downloading of the pictures, and while you think listen to H.Bunji playing Mozart's Sonata in G K283, by clicking on the picture of the Santa Casa de Misericordia de Porto Alegre.


Hosted by www.Geocities.ws

1