?
?
Drs. Prolla and Diehl's INTERESTING CASE OF THE MONTH January 2009
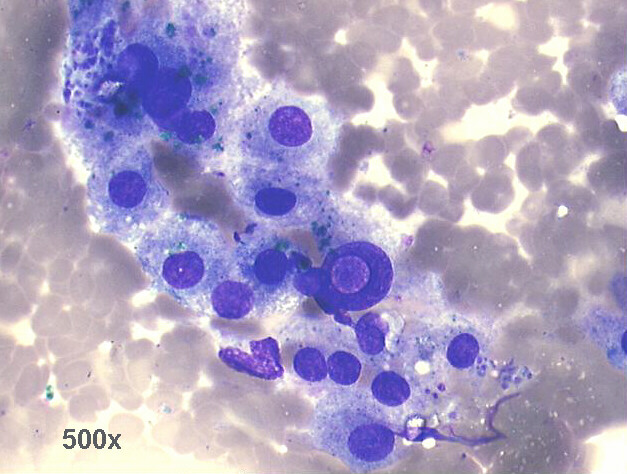
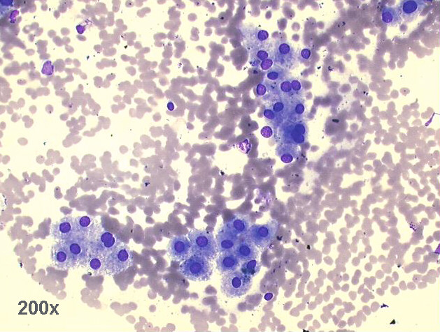
FNA (US guided) Portal vein thrombus, 51-year old female with hepatic tumor.

200x M-G-G staining

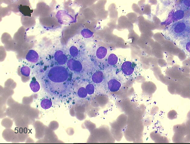
500x of previous image, M-G-G staining

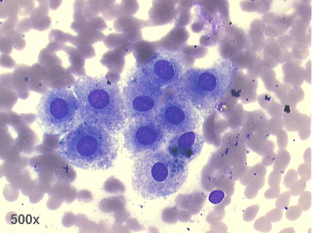
500x M-G-G staining

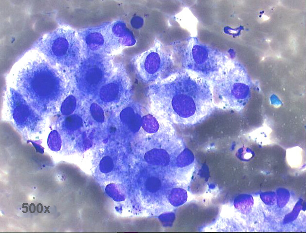
500x M-G-G staining

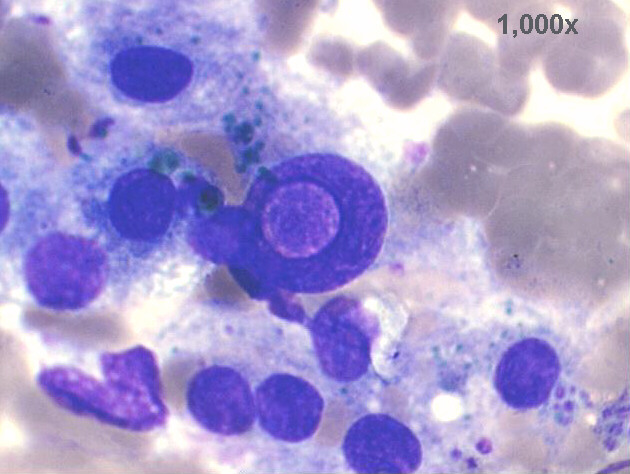
1,000x M-G-G staining, high power view of previous image

500x M-G-G staining





Case of the month answer

Santa Casa de Misericordia de Porto Alegre



Best seen on 1024x768x16M resolution -


Hosted by www.Geocities.ws

1