Drs. Prolla and Diehl's INTERESTING CASE OF THE MONTH January 2008
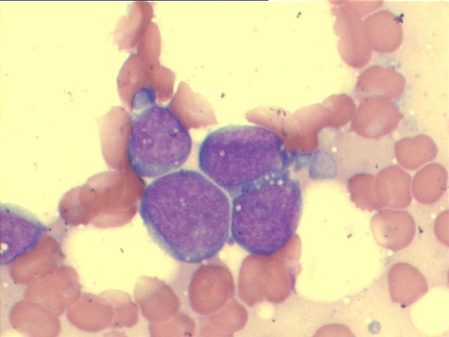
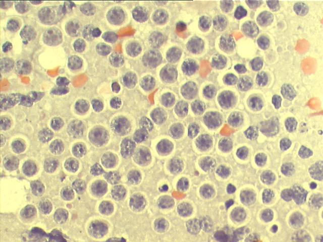
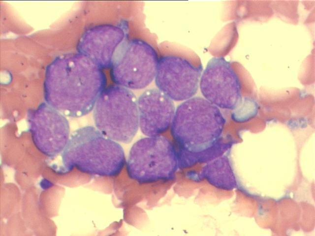
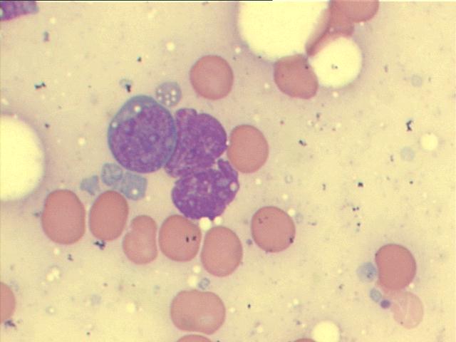
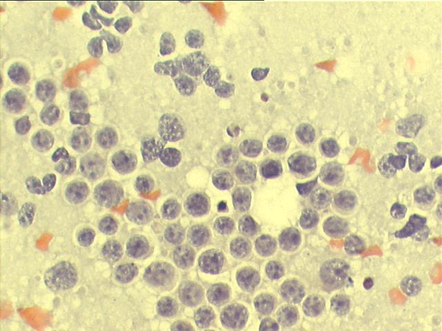
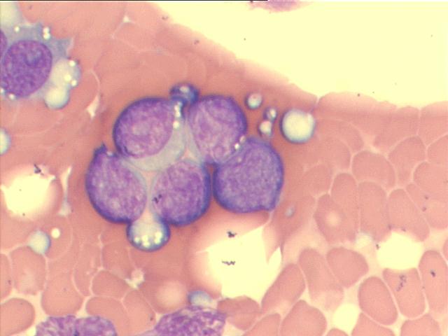
FNA of breast masses of 28-year old female, with AIDS and B-cell lymphoma

M-G-G staining, 1,000x

M-G-G staining, 1,000x

M-G-G, 1,000x

M-G-G staining, 1,000x

Papanicolaou staining, 500x

Papanicolaou staining, 500x

Papanicolaou staining, 1,000x

Papanicolaou staining, 1,000x

Papanicolaou staining, 1,000x





Case of the month answer




Best seen on 1024x768x16M resolution - A


Hosted by www.Geocities.ws

1