Drs. Prolla and Diehl's INTERESTING CASE OF THE MONTH January 2006
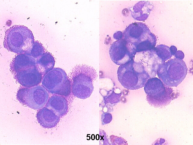
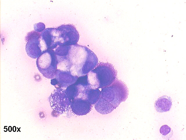
Ascites, 34-year old female 34-year old female with a left ovarian mass.
 

500x oil Papanicolaou staining

500x M-G-G staining

500x M-G-G staining

500x M-G-G staining

500x M-G-G staining

500x M-G-G staining

500x M-G-G staining





Case of the month answer

Santa Casa de Misericordia de Porto Alegre -




Best seen on 1024x768x16M resolution -


Hosted by www.Geocities.ws

1