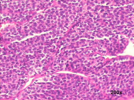
In this photo the fibrovascular septa are more prominent. Note the pink granular cytoplasm.
Hematoxylin & Eosin, 200x

Hosted by www.Geocities.ws

1