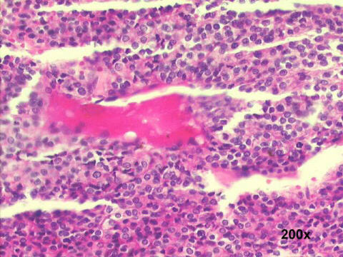
Densely packed sheets of poligonal cells, with oval or round nuclei, with some delicate fibrovascular septa. Presence of large irregular deposit of amyloid.
Hematoxylin & Eosin, 200x

Hosted by www.Geocities.ws

1