Virtual HospitalLogo

El Currículum Adulto de Núcleo Pulmonar: La Embolia Pulmonar

La Presentación de Caso

Escrito por:
Stephen L. Hempel, M.D.

Escudriñe Condición de Revisión: Internamente Compañero Revisado por el Departamento de Interno Hospital Virtual de Medicina Placa Editorial
La Creación Fecha: Marzo 1996
La Ultima Enmienda Fecha: Noviembre 1997


La historia:
El paciente es un 20 año - viejo estudiante hembra de colegio con una seis historia de año de fumar. Ella actualmente usa pastillas anticonceptiva. Ella tuvo un un mes de historia del dolor derecho de flanco y dorso, que se trató con la tracción a su hospital local. al tiempo de entrada a su hospital local había un lado derecho infiltra con un derecho pequeño pleural efusión. UN V/Q repasa se leyó tan la probabilidad bajo. El paciente se despidió sobre nonsteroidal anti - inflamatorias drogas. El paciente se admitió a la Universidad de Iowa un mes luego, después de ser ver en la clínica de paciente de consulta exterior para síntomas recurrentes de dolor posterior.

PE:
Sobre el examen físico el valor respiratorio era 16, el resto del vitals eran normales. Ella era una mujer joven en la angustia moderada secundaria para doler. Ella había una rozadura refregado a la base derecho, pero el remanente de su examen era unremarkable.

El laboratorio:
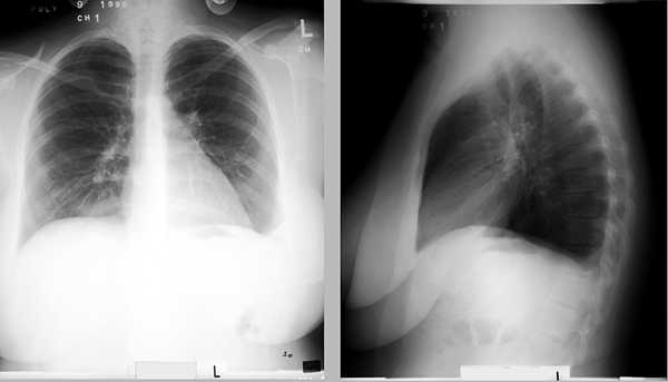
La sala ventila el gas arterial de sangre mostró pH 7.41, PCO2 35 y PO2 91. El EKG era normal, y la radiografía de pecho ningún mostró infiltra pero embotando al izquierda costophrenic ángulo. El lado derecho, donde la frotación se oyó, era normal. La extremidad más inferior dopplers se obtuvieron y eran normales. Una ventilación perfusion repasa se obtuvo e interpretada tan la probabilidad intermedia para la embolia pulmonar.

A causa del interés continuado sobre la embolia pulmonar, pulmonar angiography se desempeñó y demostrado un cuadrilongo que llena falla dentro de la interlobar sucursal de la arteria pulmonar derecho. Esta falla extendió en el lóbulo medio así como también un proximal segmento del lóbulo más inferior derecho.

Ella se trató uneventfully con heparin seguido por warfarin. al seguimiento, de tres meses luego, repetir la ventilación perfusion repasa se leyó tan normal. El warfarin se paró. Las paciente continuado fuera pastillas anticonceptiva y consecutivamente llegaron a ser encintas. Ella se trató con sq heparin 5000 unidades licitado durante su preñez. Estas se aumentó a 7500 unidades tid por seis de semanas después de la entrega, entonces parado. Ningún había evidencia de DVT o PE durante su preñez o siguiendo entrega.

| Próximo Pág. | Pág. Previo | Secciona Cima | Pág. de Título |
Hosted by www.Geocities.ws


El Hogar Virtual de Hospital | el Virtual Hogar de Hospital de Niños | Ayuda | Búsqueda | Plantea | Abstención | Comentarios [<A>]

Inspeccione esta página a la ubicación Virtual de Hospital más cercano usted: Australia | Estados Unidos

Virtual Ubicaciones Internacionales de Hospital: Australia | Estados Unidos


[email protected]

Todos los contenidos registran © 1992-1998 el Author(s) y la Universidad de Iowa. Todos derechos reservados.

http://www.vh.org/Pr
El tiempo mostrado: El Nov Sentado 21 10:16:49 1998


VOLVER CASO CLINICO IOWA



LINKS ÚTILES
(Haga click en las figuras)









LIBROS.MÚSICA.VIDEOS


In Association with Amazon.com


 Search: Enter keywords...

Amazon.com logo



¿Desea aprender a hacer Páginas Web como esta?.
Order HTML 4 for the World Wide Web (Visual Quickstart Guide) Today!









MÚSICA


CDnow








OFERTAS GRATUITAS DE EMPLEOS MUNDIALES




E-mail:



[email protected]



This page has been visited
times.
Hosted by www.Geocities.ws

1