Virtual Hospital
Logo

Adult Pulmonary Core Curriculum: Pulmonary Embolism

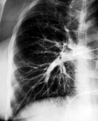
Figure 3: Pulmonary angiogram

Written by:
Stephen L. Hempel, M.D.
Edited by:

Michael W. Peterson, M.D.
Joel N. Kline, M.D.
Christine Blaski, M.D.
Peer Review Status:

Figure 3: Pulmonary angiogram
Pulmonary angiography demonstrated an oblong filling defect within the interlobar branch of the right pulmonry artery. This defect extended into the middle lobe as well as a proximal segment of the right lower lobe.

| Next Page | Previous Page | Section Top | Title Page |
Hosted by www.Geocities.ws


Virtual Hospital Home | Virtual Children's Hospital Home | Help | Search | Outline | Disclaimer | Comments

View this page at the Virtual Hospital location nearest you: Australia | United States

Virtual Hospital International Locations: Australia | United States


[email protected]

All contents copyright � 1992-1998 the Author(s) and the University of Iowa. All rights reserved.

http://www.vh.org/Providers/TeachingFiles/PulmonaryCoreCurric/PE/Angio.html
Displayed time : Sat Nov 21 10:23:32 1998

1