PRÁCTICA CLÍNICA DE LA MEDICINA BASADA EN LA EVIDENCIA







DR. SAURO YAGÜE

ESCENARIO CLÍNICO 14:DETERMINACIÓN DEL PRONÓSTICO





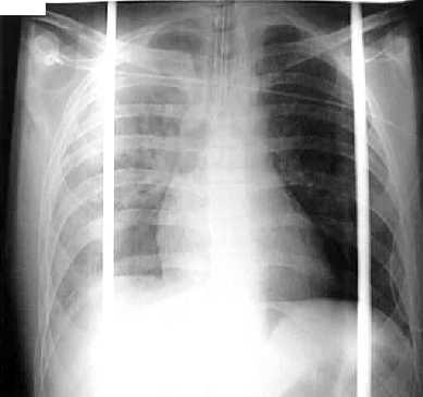
Un paciente varón de 43 años ingresa en Urgencias después de un accidente de tráfico, con fracturas de 3ª,4ª,5ª y 6ª costillas derechas y contusión pulmonar derecha.

Al 5 dia le aparece un sídrome de distrés respiratorio agudo del adulto y se inicia ventilación mecánica con PEEP

Dos dias mas tarde sufre un neumotórax izquierdo a consecuencia del barotrauma producido por la ventilación mecánica

Los hijos del paciente nos preguntan sobre la influencia que esta complicación tiene sobre la mortalidad de su padre.

Les indicamos que intentaremos responder a su pregunta al dia siguiente

Decidimos buscar una respuesta a esta pregunta en Medline y tras aplicar los correspondientes filtros metodológicos, hallamos el siguiente artículo:

The relation of pneumothorax and other air leaks to mortality in the acute respiratory distress syndrome.

New England Journal of Medicine 1998, Feb 5;338(6):341-6
Weg JG.
Department of Internal Medicine, University of Michigan Medical Center, Ann Arbor




The relation of pneumothorax and other air leaks to mortality in the acute respiratory distress syndrome.


Para ver traducción on-line al castellano:

La relación del neumotórax y otras fístulas aéreas con la mortalidad en el síndrome del distrés respiratorio agudo del adulto
(a pesar de usar el mejor traductor de páginas Web on-line,las traducciones a veces pueden llegar a ser algo jocosas).






Grupo I (N=127)

Neumotórax y otras fístulas aéreas
Grupo II (N=598)

No neumotórax u otras fístulas aéreas
45.5% mortalidad
95% IC 34.4 a 56.6
39% mortalidad
95% IC 35.3 a 42.8










Enfermos con efecto nocivo (neumotórax)Enfermos sin efecto nocivo (no neumotórax)
NúmeroProporción (%)NúmeroProporción (%)
Muerte 580.202330.80
No muerte 690.163650.84
Riesgo Relativo (RR)1.25
Número necesario para dañar (NNH) 25 95% CI:1.21 a 1.29
Chi Cuadrado1.69 P 0.194






Es decir el Riesgo Relativo de fallecer por un neumotórax producido por la ventilación mecánica en un paciente con síndrome de distrés respiratorio es de solo 1.25 mas que aquellos pacientes que no sufren esta complicación de un neumotórax.La relación no es estadísticamente significativa (Chi cuadrado= 1.69, p= 0.194)

El Número necesario para dañar (NNH) es de 25 lo que significa que por cada 25 neumotórax habrá una nueva muerte.




Para una completa explicación de estos valores ver Curso on-line de Medicina Basada en la Evidencia en:

Conceptos básicos para la práctica de la MBE:Determinación efectos nocivos



Las deducciones de los datos se realiza de la siguiente forma:

45.5% de mortalidad en el grupo con neumotórax (N=127) significan 58 muertes y 69 supervivientes (127-58)

39% de mortalidad en el grupo sin neumotórax (N=598) significan 233 muertes y 365 supervivientes (598-233)

Procedemos a introducir en CATMAKER:
a=58
b=233
c=69
d=365

Volver curso MBE



E-mail:



[email protected]



This page has been visited
times.
Hosted by www.Geocities.ws

1