PRÁCTICA CLÍNICA DE LA MEDICINA BASADA EN LA EVIDENCIA







DR. SAURO YAGÜE

ESCENARIO CLÍNICO 5:DECISIÓN TERAPEÚTICA








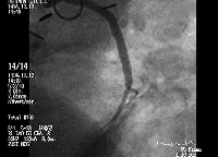
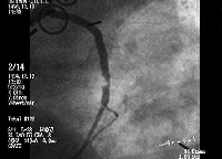
Un paciente varón de 57 años ingresa de urgencias a consecuencia de un angor.

La angiografia coronaria mostró una estenosis de la arteria coronaria izquierda.



Se le realiza una angioplastia trasluminal percutánea con implantación de un stent Palmaz-Schatz.






Hemos leido que los stents son útiles para dilatar las arterias coronarias estenóticas en la fase aguda pero siempre existe el riesgo de una re-estenosis como consecuencia de la proliferación de células vasculares lisas y la subsiguiente trombosis coronaria



Por este motivo hemos pensado en tratar con aspirina a nuestro paciente pero nos preguntamos si el nuevo anti-agregante plaquetario cilostazol podria ser mas efectivo que la aspirina.

Tras los correspondientes filtros metodológicos hallamos en Medline el excelente artículo del Departamento de Cardiologia del Yokohama City Seibu Hospital (St. Maraianna University), Japón:

A randomized trial of aspirin versus cilostazol therapy after successful coronary stent implantation.

Kunishimma T.

Clinical Therepy 1997, 19(5):1058-1066




A randomized trial of aspirin versus cilostazol therapy after successful coronary stent implantation.


Para ver traducción on-line al castellano:

Estudio randomizado de aspirina versus cilostazol después de la implantación de stents coronarios
(a pesar de usar el mejor traductor de páginas Web on-line,las traducciones a veces pueden llegar a ser algo jocosas).






Grupo I (N=45)

Aspirina 81 mg/dia
Grupo II (N=37)

Cilostazol 200 mg/dia
12 re-estenosis coronarias 3 re-estenosis coronarias












Complicación CER EER RRR ARR NNT
Re-estenosis coronaria 0.267 0.081 70% 0.186 6
95% Confidence Intervals: 11% to 100% 0.030 to 0.342 3 to 34



Para una completa explicación de estos valores ver Curso on-line de Medicina Basada en la Evidencia en:

CURSO ON-LINE MBE



Por consiguiente es preciso administrar cilostazol a solo 6 pacientes para evitar una re-estenosis coronaria.

Ante esta evidencia decidimos tratar profilácticamente a nuestro paciente con cilostazol 200 mg/dia, con el convencimiento de que de esta forma le estamos administrando el mejor tratamiento disponible en este momento para la prevención de las re-estenosis coronarias después de la implantación de un stent Palmaz-Schatz.



Volver curso MBE



E-mail:



[email protected]



This page has been visited
times.
Hosted by www.Geocities.ws

1