3. Teixits de revestiment



3.1. Teixit epitelial
3.2. Teixit glandular.


La funció dels teixits de revestiment és recobrir i protegir les superfícies externes i internes i segregar substàncies químiques. Són cèl·lules poc diferenciades i que no presenten substància intercel·lular. Segons la seua funció, se'n distingeix el teixit epitelial, amb funció protectora , i el teixit glandular, amb funció secretora.


3. Teixit epitelial de revestiment


Està constutuït per cèl·lules fortament unides mitjançant una sèrie d'estructures d'unió que són els desmosomes. Aquest fet impedeix l'existència d'una matèria intercel·lular com té lloc als altres teixits. Amb això, s'evita l'entrada de bacteris o cossos estranys a l'organisme així com l'eixida de líquids de l'interior.

Aquest teixit constitueix el límit entre l'organisme i l'exterior (ex. la pell) o entre l'organisme i les seues cavitats internes (revestiment del tub digestiu). Així doncs, una part del teixit es troba en contacte amb l'aire o amb els líquids interns; l'altra, unida al teixit conjuntiu, que serà l'encarregat de nodrir l'epiteli, ja que aquest no presenta vasos sanguinis (veure les estructures circulars de la foto, amb glòbuls rojos) -no està vascularitzat-. Entre ambdós teixits hi ha una fina capa anomenada membrana basal.



* Tipus cel·lulars:


- Cèl·lules pavimentoses
- Cèl·lules cúbiques
- Cèl·lules prismàtiques
fes clic per ampliar


** Com a resultat de la diferenciació cel·lular , ens podem trobar amb uns tipus cel·lulars modificats com :


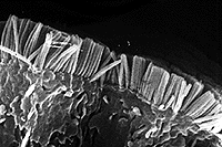
- Cèl·lules ciliades presents en l'aparell respiratori; eviten l'entrada de pols o altres sòlids).

fes clic per ampliar


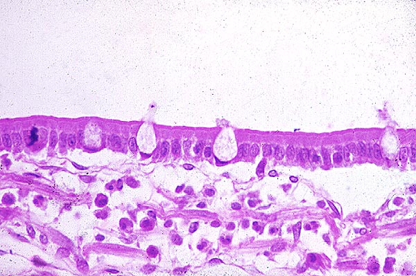
- Microvellositats: diminuts plecs qua augmenten la superficie d'absorció a l'intestí.

fes clic per ampliar


- Ceratinòcits : cèl·lules que segreguen ceratina , de funció protectora (pell)
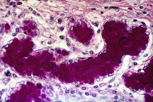
- Cèl·lules mucoses: Són cèl·lules que segreguen substancies com el mucus fabricat per les cèl·lules caliciformes de l'intestí amb funció protectora i lubrificant.

fes clic per ampliar



*** Segons el nombre de capes, els epitelis poden ser:


- Monostratificats o simples: una capa
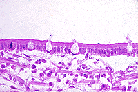
- Pseudostratificats: S'anomena així perquè els nuclis de les seues cèl·lules es disposen a altures diferents i aparenta constar de vàries capes , encara que tenen en realitat una sola capa de cèl·lules
- Pluristratificats


A partir d'aquest tres criteris - forma de la cèl·lula, modificacions i nombre de capes - es pot fer una classificació. Nosaltres en veurem els exemples més importants:


Epitelis simples


Endotelis
Són epitelis aplanats i monostratificats que entapissen la paret interna dels vasos sanguinis i de nombrosos òrgans (cor, intestí, pulmons etc)


Epiteli prismàtic simple o epiteli amb xapa.
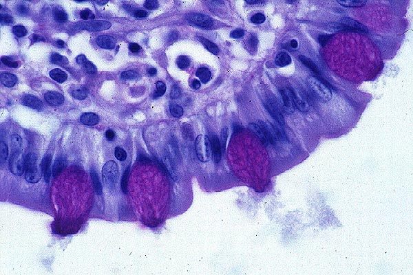
Epiteli monostratificat de cèl·lules prismàtiques que entapissa gran part del tub digestiu (estòmac i intestins). El nom d'epiteli amb xapa prové de l'aspecte que presenta al microscopi òptic ja que la part en contacte amb l'interior del tub digestiu presenta una capa acolorida contínua. Aquesta xapa correspon realment a una sèrie de microvellositats (finissims replegaments de la membrana cel·lular) que tenen com a missió l'augment de la superfície i, per tant, la capacitat d'absorció de nutrients. Entre aquest epiteli s'intercalen cèl·lules caliciformes, de funció lubrificant i que es poden considerar com a glàndules unicel·lulars.

fes clic per ampliar

 

Epitelis pseudostratificats
El més conegut es presenta als conductes respiratoris (laringe, tràquea , bronquis): És l'epiteli amb cilis o vibràtil. La seua missió és protectora: si entren partícules sòlides, aquestes exciten els cilis de les cèl·lules els quals es posen en moviment i les expulsen cap a l'exterior (mecanisme de la tos)

fes clic per veure una foto

 


Epitelis pluriestratificats
Com a exemple principal tenim l'epidermis de la pell. Es tracta d'un epiteli pavimentós on es produeix un procés de diferenciació cel·lular anomenat ceratinització: les cèl·lules van fabricant aquesta proteïna de funció protectora i aïllant fins arribar un moment que n'estan plenes i moren , protegint d'aquesta manera les cèl·lules subjacents de la fricció, l'aigua o l'entrada de bacteris. Hi ha una contínua evolució de les cèl·lules que formen aquest epiteli de forma que emigren cap a la superficie, s'aplanen i es carreguen de ceratina fins degenerar. L'epiteli consta de les següents capes:


- Capa basal o germinativa: Cèl·lules en contacte amb la capa basal i encarregades de la renovació de l'epiteli. En son les úniques que es divideixen
- Capa de Malpighi o estrat espinós . El seu nom prové de les unions cel·lulars
- Capa granulosa: Les cèl·lules van aplanant-se i s'observen grànuls de ceratina (o queratina)
- Estrat lluït , format per cèl·lules aplanades , mortes , sense nucli , plenes de ceratina (corneòcits)
- Capa còrnia. Ací ha finalitzat el procés de degeneració cel·lular . Costitueix una barrera en continu procés de descamació.


Recordem que epidermis no és equivalent a pell. La pell està constituïda per tres teixits juxtaposats:


- Epidermis
- Derma , separada de l'anterior per la làmina basal. Està constituïda per teixit conjuntiu , i és l'encarregada de nodrir l'epiteli , ja que està vascularitzada
- Hipodermis. Formada per teixit adipós , de funció d'aïllant tèrmic i mecànic i de reserva energètica.

A més a més a l'epidermis ha ha unes estructures anomenades annexos epidèrmics com són les ungles , péls , glàndules sudorípares i sebàcies , etc.


3.2 - Teixit glandular


Està format per cèl·lules que elaboren substàncies en gran quantitat destinades per a l'exportació. Els productes elaborats i expulsats són molt diversos: enzims , hormones , mucus , llet, greix , etc.

De vegades es troben aïllades com les cèl·lules caliciformes de l'epiteli intestinal , però normalment s'agrupen en unes estructures plurucel·lulars anomenades glàndules , conjunt de cèl·lules epitelials invaginades durant el desenvolupament embrionari cap a l'interior del teixit connectiu subjacent.

 


Segons el medi al qual aboquen el seu contingut es classifiquen en :


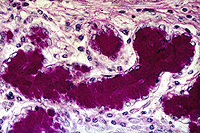
- Exocrines o de secreció externa : Aboquen el seu contingut a l'exterior del cos (sudorípares) o al tub digestiu (salivals). Poden tindre nombroses formes: tubuloses , digitades , arraïmades , etc.

fes clic per ampliar


- Glàndules endocrines o de secreció interna. Aboquen el seu contingut a la sang. Els seus productes són hormones. (glàndula tiroide)
- Glàndules mixtes: Actuen alhora com exocrines i endocrines com el pàncrees

 

Pàgina feta per

 


 

TORNAR A LA PÀGINA PRINCIPAL DE BIOLOGIA HUMANA
Hosted by www.Geocities.ws

1