Rhinology/Allergy pages

Allergy Shots

/clipart/hrules/Generic/grass.gif
/user/Allerg2a.jpg

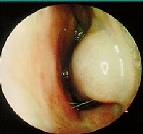
The patient's nose to the left demonstates allergic rhinitis.  The inferior turbinate (whitish protuberance) is swollen and pale.  Note the secretions also.

Undergoing a course of allergy shots is, admittedly, an inconvenience.  A gradually escalating dose of the allergens to which you are sensitive is given weekly.  Your symptoms may actually worsen during the first one to two months during your treatment.  You will likely experience some swelling and itching at the injection site that may last for 24 to 48 hours.  You may experience more swelling when your particular allergens are in season.

Once we have achieved the highest dose of antigen possible in the treatment vial, you will then be at your maintenance dose.  You will remain at this dose for approximately one year.  We will then try to decrease the frequency of your injections to every other week for a year, then every third week for a year, and then stop the shots altogether.  Obviously this is a generalization; each patient�s treatment regimen will be individualized.  A typical regimen of shots will last three to five years.  Some individuals remain on the shots longer if their symptoms recur as they try to cut back on their injections.

Now this does not sound too appealing: why would you want to undergo immunotherapy?  Allergy shots are a chance at a cure for your allergies � this is especially appealing in children who face years of medication and suffering.  Allergy shots can reduce or eliminate your need for medications.  Also, allergy shots are our most powerful therapy in treating allergic disease.

Allergy shots are a powerful, unique treatment option that is worthy of your consideration.

back to start

Hosted by www.Geocities.ws

1