BRANCHIOBDELLA HEXODONTA


Sezioni longitudinali di B. hexodonta. Sono visibili gli organi adesivi anteriore (OA) e posteriore (OP)



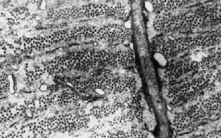
Sezioni trasversali di fibre circomiarie cilindriche dello strato longitudinale mostrano l'asse citoplasmatico ocupato da mitocondri.


BRANCHIOBDELLIDAE

1