
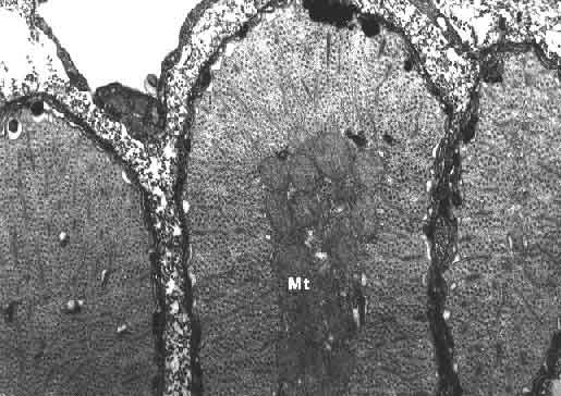
Sezione trasversale di B. pentodonta.
E: epitelio; ML: muscoli longitudinali. Le fibre sono circomiarie cilindriche.

ML: muscoli longitudinali con fibre circomiarie cilindriche.


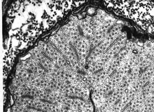
Al microscopio elettronico le fibre longitudinali, circomiarie cilindriche, presentano un ampio spazio citoplasmatico occupato da numerosi mitocondri (Mt).