
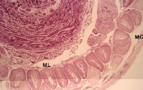
Sezioni trasversali di Sathodrilus al microscopio ottico.
Sotto all'epitelio sono visibili i muscoli soprannumerari (MS) i muscoli circolari (MC) e quelli longitudinali (ML).


Le fibre longitudinali hanno materiale contrattile aperto dal quale protrude il citoplasma in larghe espansioni a contatto tra loro.