
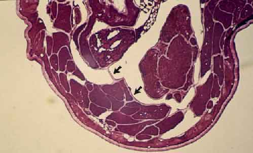
Sezione trasversale di Magmatodrilus a livello di una cresta. Sono presenti muscoli soprannumerari (MS) e gli strati di fibre circomiarie.

A maggiore ingrandimento � visibile il rivestimento celomatico.

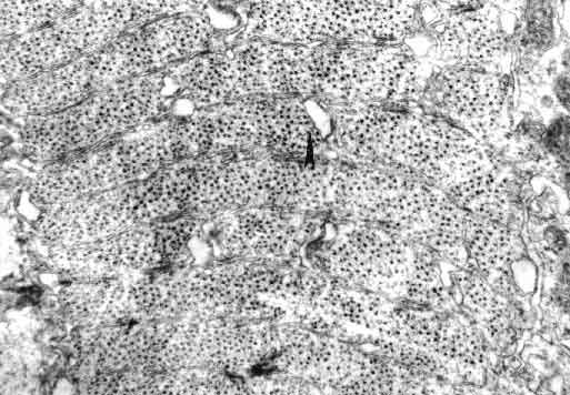
Sezione trasversale: il materiale cotrattile � particolarmente spesso, le diadi sono sparse.
