PTERODRILUS HOBBSI


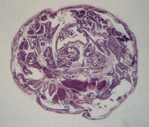
Sezione trasversale di Pterodrilus.Sono evidenti le fibre longitudinali con materiale contrattile aperto.


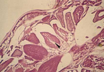
A maggiore ingrandimento si notano l'esiguit� e la discontinuit� dello strato circolare.

CAMBARINCOLIDAE 1