
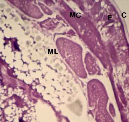
Sotto a cuticola ed epitelio sono visibili lo
strato circolare discontinuo e quello longitudinale formato da fibre regolarmente separate
(circomiarie cilindriche e pseudocircomiarie)


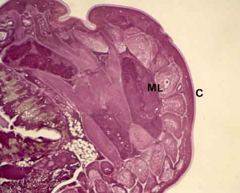
Sezione trasversale della parete corporea di Cambarincola.
Nello strato longitudinale sono evidenti fibre pseudocircomiarie e poliplatimiarie.
C: cuticola; E: epitelio; ML: strato muscolare longitudinale.

C- cuticola; E- eptelio V- vaso. Le fibre longitudinali sono circomiarie cilindriche, quelle circolari sono discontinue.

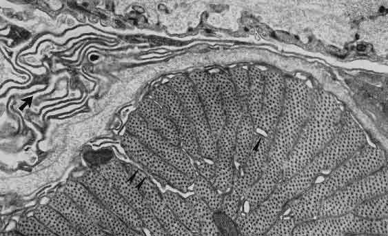
Nella sezione trasversale di questa fibra circolare sono evidenti le diadi sparse nel materiale contrattile.
Lo spazio intermuscolare e ridotto.

Fibre circomiarie e pseudocircomiarie. Il materiale contrattile e costellato di diadi.
