
Sezione trasversale. Sono visibili: cuticola, epitelio e muscoli circolari.


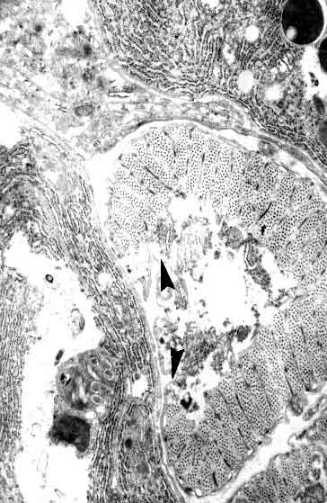
Sezione trasversale al microscopio elettronico della parete corporea di Uglukodrilus.
Le fibre presentano il materiale citoplasmatico occupato da mitocondri.
Lo spazio intermuscolare delimitato dalla lamina epiteliale � ben evidente.

Fibra con materiale contrattile aperto.