
Sotto la cuticola (C) e all'epitelio sono presenti i muscoli dello strato circolare (MC) e quelli dello strato longitudinale (ML); le fibre di quest'ultimo sono
di tipo circomiario cilindrico e pseudocircomiario.

Tra le fibre dei due strati muscolari � presente un ampio spazio.

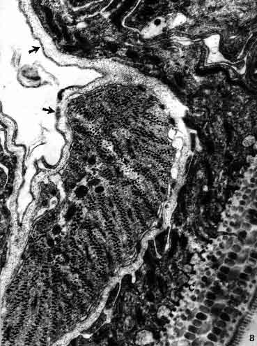
Sotto alla cuticola e all'epitelio � visibile una fibra circolare, separata dallo strato muscolare
sottostante da un sottilissimo epitelio laminare (frecce).

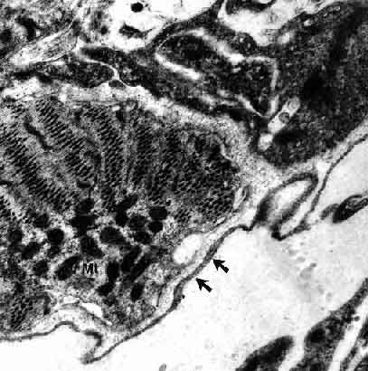
Sezione trasversale di una fibra dello strato circolare di tipo platimiario.
Il citoplasma, contenente mitocondri, � rivolto verso lo spazio di separazione fra i due strati (frecce).

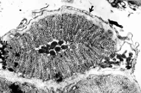
Sezione trasversale di fibra circomiaria cilindrica dello strato longitudinale.
La freccia indica il rivestimento dello spazio intermuscolare.

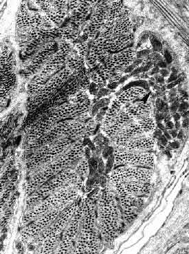
Fibra pseudocircomiaria con citoplasma ricco di mitocondri che protrude.