

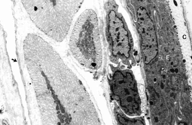
Sezione trasversale di Xironogiton.
Sono visibili: cuticola(C), epitelio (E) e muscoli longitudinali.

Le fibre muscolari sono delimitate da un sottile epitelio che delimita gli spazi.

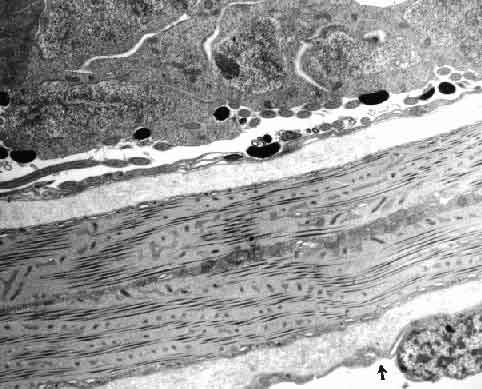
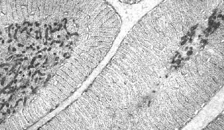
Nello strato longitudinale sono presenti due tipi di fibre:
quelle con materiale contrattile spesso, con molte diadi, e quelle con materiale contrattile sottile, asse citoplasmatico espanso e poche diadi.
