
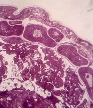
Sezione trasversale di Xironodrilus.
MC: muscoli circolari discontinui; ML: muscoli longitudinali; I: intestino; SN: sistema nervoso.

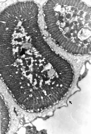
Sezione trasversale di fibre circomiarie cilindriche dello strato longitudinale.

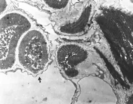
Sezione trasversale di fibre circomiarie cilindriche: � evidente il rivestimento dello spazio intermuscolare.

Sezioni trasversali.
C- cuticola; MC- muscolatura circolare; ML- muscolatura longitudinale; S- spazio intermuscolare.
