
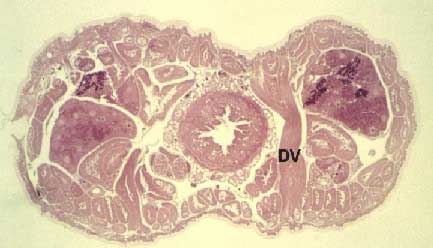
Sezione trasversale di Cirrodrilus.
Sono visibili muscoli dorsoventrali (DV).

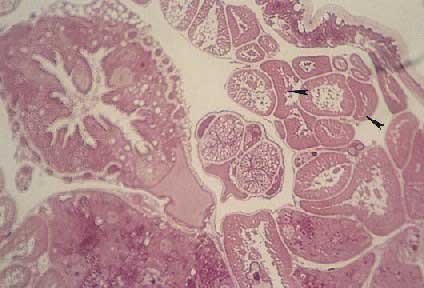
A maggiore ingrandimento si notano fibre circomiarie cilindriche e pseudocircomiarie (frecce).

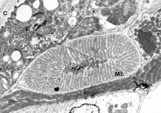
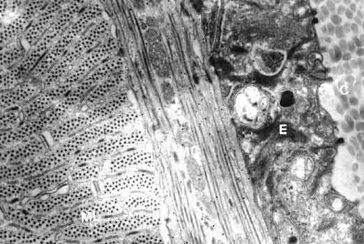
Sezione trasversale al microscopio elettronico: C- cuticola; E- epitelio; MC- muscoli circolari; ML- muscoli longitudinali.

C- cuticola; E- epitelio; MC- muscoli circolari; ML- muscoli longitudinali.

Fibra circomiaria cilindrica con asse citoplasmatico occupato da piccoli mitocondri.