
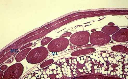
Sezione trasversale di B. parasita.
Sono visibili cuticola, epitelio e muscoli circolari (MC).
Lo strato longitudinale (ML) � formato da fibre circomiarie cilindriche.


Questa immagine mette in evidenza il rivestimento dello spazio intermuscolare (frecce).
A sinistra � visibile una parte di fibra longitudinale (ML).