
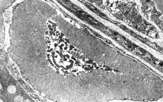
Sezioni trasversali di B. kozarovi.Sono visibili la cuticola (C), l'epitelio (E), fibre circolari (MC) e muscoli longitudinali (ML).


La stessa sequenza di strati osservati al microscopio elettronico.
Sono visibili ridotti spazi intermuscolari (frecce).

Le fibre sono di tipo circomiario cilindrico.
