BDELLODRILUS ILLUMINATUS

.
Sezione trasversale di B. illuminatus al microscopio ottico. C: cuticola; E: epitelio; MC: fibre circolari; ML: fibre longitudinali.

.
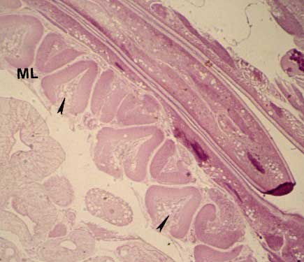
Sezione trasversale di B. illuminatus al microscopio ottico. ML: fibre longitudinali con materiale contrattile variamente organizzato.

.
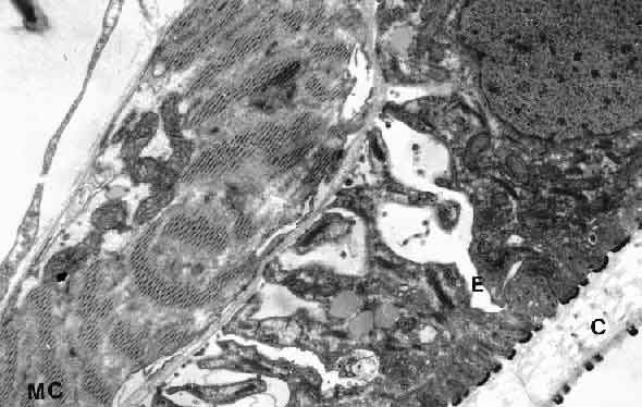
In questa immagine al microscopio elettronico sono visibili: la cuticola (C), l'epitelio (E) al di sotto dei quali si trova una fibra platimiaria dello strato circolare. Il materiale contrattile � rivolto verso l'epitelio.

.
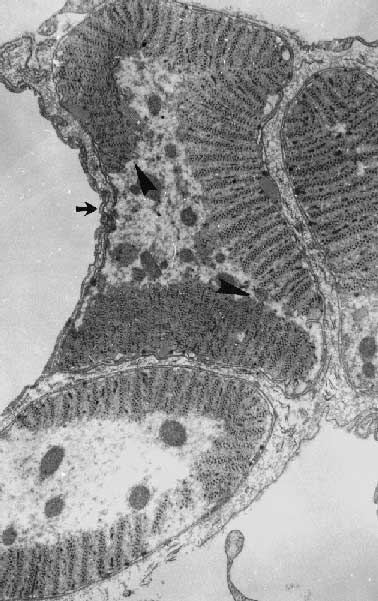
Nello strato longitudinale sono presenti fibre circomiarie ad anello contrattile chiuso e aperto. Vi sono inoltre fibre poliplatimiarie con materiale contrattile a blocchi.

.
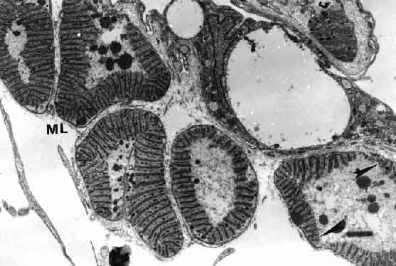
Fibre poliplatimiarie dello strato longitudinale.Il materiale contrattile � a blocchi. Lo strato � delimitato da un sottile epitelio (freccia).

BDELLODRILIDAE 1